Skip to main content
Clairemont Endodontics
Endodontic Excellence through Technological Advances and Personalized Care
Click or Call to
Schedule an Appointment Today!
Like us on Facebook
Visit us on Yelp
Watch our Youtube Videos
Leave a Google Review
Instagram
(858) 270-2760
3737 Moraga Ave , Suite B 313 - San Diego, CA 92117
Home
Meet Our Doctor
Dr. Tengonciang
Take a Tour
Services
View All
Comfort and Relaxation
Root Canal Treatment
Root Canal Retreatment
Endodontic Surgery (Apicoectomies)
Oral Trauma and Cracked Teeth
Emergency Root Canal
Before & After
Reviews
Patient Info
View Patient Info
Forms
Financing
FAQs
Referring Doctors
Contact
Clairemont Endodontics
>
Before & After
>
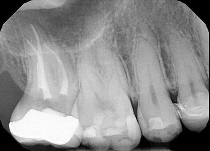
Root Canal Treatment #5
Root Canal Treatment #5
Return to Smile Gallery
Previous
Next
Treatment of tooth #5 ( upper right bicuspid) with an extra canal!
Related Services:
Root Canal Treatment
Before
After
Still need an appointment?
Contact Us
OK!
×
×
Ask Us A Question
Give Us A Call
Clairemont Endodontics -
(858) 270-2760
Send Us an Email
Click or Call to
Schedule an Appointment Today!
Contact Us
Ready to Schedule an Appointment?
Book Now
Have Questions? Contact Us:
Full Name
* (Req)
Phone
Email
* (Req)
Are you a?
New Patient
Current Patient
How would you like us to contact you?
Please choose
Email
Call
How did you hear about us?
Please choose
I'm an existing patient
Google/Bing
Mailer
Word of mouth
Social media
Other
Who Referred You?:
Appointment Preferences
Monday
Tuesday
Wednesday
Thursday
Friday
Additional Comments
This site is protected by reCAPTCHA and the Google
Privacy Policy
and
Terms of Service
apply.
Required Field
Sending...
×
This Patient's Experience
Loading Testimonial...
Loading Case...